Dr. Khullar’s Dental Clinic offers Invisalign – the advanced, virtually invisible way to straighten teeth and achieve a beautiful smile without the hassle of metal braces. Our Invisalign treatment is tailored to fit your lifestyle, providing a comfortable, removable, and...
Ceramic braces are made of translucent (clear) material. They are most popular with adult patients, due to their cosmetic appeal. The Cost of Ceramic Braces in our dental clinics in Bangalore is Rs 35000...
Lingual braces are one of the "invisible" treatment methods that your orthodontist may have to offer. For the most part, they look like conventional dental braces that have been mounted on the backside (lingual, tongue side) of your teeth. This...
Metal braces are the most common type. They are made of high-grade stainless steel. Today's metal braces are smaller, more comfortable and more attractive.These are the braces that are most commonly used for children, and also used in teens and...
We at dr kandhari’s skin and dental clinic located in greater kailash 1, new delhi provide an in house doctor / orthodontist in delhi for dental braces treatment. Our treatment concept has always been, face-driven orthodontics as we concentrate on...
At D'code Dental Clinic, we offer comprehensive orthodontic solutions, including braces and aligners, to help you achieve a straighter, more confident smile. Whether you're dealing with crooked teeth, crowded teeth, or bite alignment issues, our...
Nothing you wear is more important than your smile and we intend to make that smile perfect. Orthodontist is a field of dentistry pertaining to corrections of mal-aligned or crooked teeth. In addition to esthetic benefits, properly aligned teeth and...
Now the idea of getting braces is more acceptable because of invisible braces.conventional braces use brackets connected by wires to achieve desired movement of teeth. These braces are metal based and are visible when you smile or talk making your...
Braceport Dentistry is an Advanced Dental care, at prime locations in HSR Layout, Bangalore. For a relaxed and special dental experience, coupled with the highest standard of dental treatment and care in India Bangalore, look no further than...
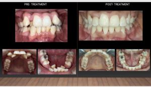
Orthodontic Treatment Orthodontics is the specialization of dentistry, which deals with correcting the bite and arrangement of teeth, thus improving the smile and function of the teeth. The irregularities of teeth are called Malocclusions and are an...
Looking for expert dental care in Pratap Vihar, Ghaziabad? Visit Anav Dental Care and Implant Centre, your trusted destination for comprehensive dental solutions. Specializing in braces and advanced orthodontic care, we ensure your smile is...
Misalignment of teeth can result in poor aesthetics, chewing problems and speaking issues. This can be treated by a variety of procedures like metallic braces, Invisalign, Lingual Orthodontics, Ceramic Braces by a qualified orthodontist. Our...
(Miyapur,Hyderabad) -
Plot No 232, Lane between Centro and Reliance Trends, Near South Shopping Mall, Mythri Nagar, Madinaguda, Hafeezpet, Hyderabad, Telangana